เผยเคล็ดลับ!! วิธีแก้ ลมพิษ 

แบบเห็นผลจริง ภายในหนึ่งสัปดาห์

โดยไม่ต้องจ่ายแพง

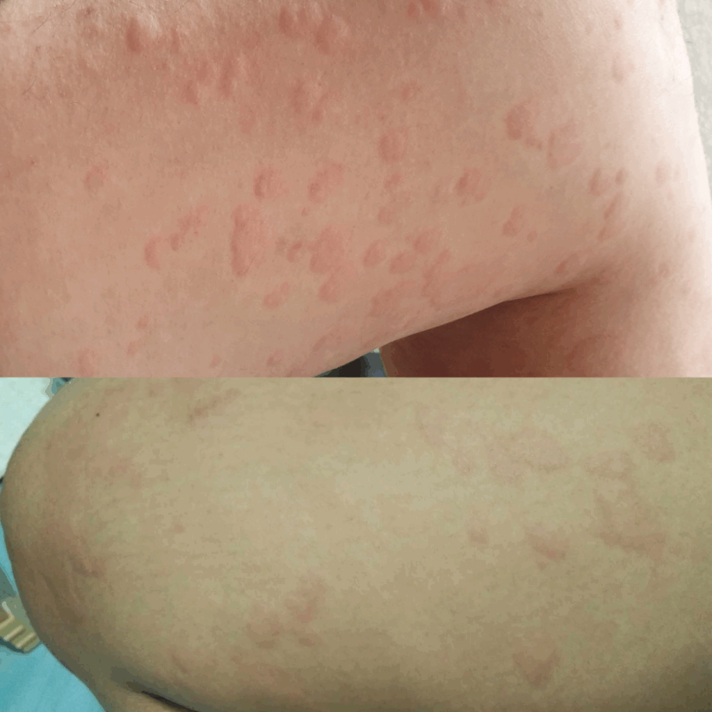
ผื่นคัน เป็นปื้นนูนแดง 

ไม่มีกำเริบอีกเลย…

โรคลมพิษ หรืออาการผื่นลมพิษ จะมีลักษณะเป็น ผื่นบวมนูน แดง คัน มีขนาดไม่แน่นอน อาจคล้ายตุ่มยุงหรือมดกัดหรืออาจมีลักษณะคล้ายแผนที่ สามารถเกิดที่บริเวณผิวหนังส่วนใดของร่างกายก็ได้ ผื่นมักจะคงอยู่ไม่นาน โดยมากมักไม่เกิน 24 ชั่วโมง ผื่นนั้นก็จะราบไปโดยไม่มีร่องรอย

แต่ก็อาจมีผื่นใหม่ขึ้นที่อื่นๆได้ ผู้ป่วยบางรายอาจมีริมฝีปากบวม ตาบวม (Angioedema) บางรายอาจมีอาการปวดท้อง แน่นจมูก คอ หายใจไม่สะดวก รายที่เป็นรุนแรงอาจมีอาการหอบหืด เป็นลมจากความดันโลหิตต่ำได้ 

ผื่นลมพิษมี 2 ประเภท

1.ลมพิษเฉียบพลัน (acute urticaria) โดยอาการผื่นลมพิษจะเกิดต่อเนื่องกันไม่เกิน 6 สัปดาห์

2.ลมพิษเรื้อรัง (chronic urticaria) จะมีอาการอย่างน้อย 2 ครั้งต่อสัปดาห์ โดยเกิดต่อเนื่องกันมากกว่า 6 สัปดาห์

จะดีกว่าไหม? ถ้าปัญหาลมพิษ
ของคุณ ถูกแก้แบบเห็นผล
โดยไม่ต้องเสียเวลา ลองผิดลองถูก
หยุดทรมานอาการเดิมๆที่แก้ไม่รู้จบ
——————–
เราขอแนะนำ…ทางเลือกใหม่
ตัวช่วยสำหรับคุณ…
✅ UCore สารสกัดจากสมุนไพร 13 ชนิด
✅ ช่วยลดอาการคันผิวหนัง บวม แดง
✅ เสริมภูมิคุ้มกัน ลดอาการลมพิษ
✅ ไม่ใช่สเตียรอยด์ ไม่มีผลข้างเคียง
✅ เห็นผลตั้งแต่กระปุกแรก
✅ ยับยั้ง ป้องกันไม่ให้กำเริบซ้ำ
✅ สินค้าขายดีมานานกว่า 7 ปี
✅ มีอย. และฮาลาล ปลอดภัย

รีวิวความประทับใจ 

จากการติดตามอาการ 

สัมภาษณ์ ลูกค้าทางบ้าน

ปรึกษาผู้เชี่ยวชาญหรือ

สอบถามรายละเอียดฟรี!!

ลองอ่านเรื่องราวต่อไปนี้

แล้วคุณจะรู้ว่าเธอ

มีวิธีจัดการลมพิษ

ให้ดีขึ้นไว ได้อย่างไร?

    สวัสดีค่ะเพื่อนๆ ชื่อปอนะคะ อายุ 29 ปี อยู่พิษณุโลกค่ะ 3 ปีก่อนหน้านี้ ปอใช้ชีวิตแบบ “ทรมาน” มาก เพราะต้องอยู่กับ ลมพิษเรื้อรัง รักษาด้วยวิธีไหนก็ไม่หาย แต่ปัจจุบัน ผื่นลมพิษไม่มีกำเริบกวนใจแล้วค่ะ เพื่อนๆคนไหนที่เป็นลมพิษอยู่ ลองเปิดใจอ่านเรื่องราวของปอดูนะคะ เผื่อจะเป็นทางออกให้เพื่อนๆได้ค่ะ

    ย้อนไปเมื่อ 3 ปีที่แล้ว เริ่มจากมีผื่นแดงคัน ที่แขน ขา ไม่แน่ใจว่าแพ้อะไร แต่ทาคาลาไมน์ไม่กี่ชั่วโมงผื่นก็ยุบหายอยู่หลายวัน ต่อมาลมพิษขึ้นบ่อยเกือบทุกวัน ตามแขนขา บางทีลุกลามไปทั่วลำตัวและใบหน้า ผื่นขึ้น เป็นปื้น บวมแดง คัน แสบร้อน 

    บางคืนตื่นมาเพราะ “คันจนต้องร้องไห้” ทำไมเราต้องมาเป็นโรคอะไรแบบนี้ด้วย ออกไปทำงานก็เลือกใส่เสื้อแขนยาวเพื่อปกปิด ใส่แมส เพราะรู้สึกอาย ขาดความมั่นใจ ทั้งทรมาน ใช้ชีวิตลำบากมากค่ะ

    ช่วงนั้นลองหาหมอหลายที่ ทั้งกินยาแก้แพ้ ทาคาลาไมน์ ทาโลชั่น ฉีดยาก็เคย แต่พอหยุดยา… ผื่นก็กลับมาอีก ตรวจเลือดก็ไม่มีอะไรผิดปกติ กว่า 3 ปีที่ผ่านมา มีใครแนะนำวิธีไหนดีก็ทำตามแทบทุกอย่าง หมดเงินไปเยอะ แต่ผลลัพธ์ก็ไม่ดีขึ้น ท้อแท้สิ้นหวังมากค่ะ

    ด้วยความทรมาน วันนึงปอลองค้นหาข้อมูลใน Google อยากรู้ว่าคนเป็นลมพิษเรื้อรัง เขามีวิธีแก้กันยังไง จนมาเจอผลิตภัณฑ์ตัวหนึ่งชื่อว่า UCore ตัวช่วยสำหรับคนเป็นลมพิษ เป็นสารสกัดจากสมุนไพรถึง 13 ชนิด มีอย. และฮาลาล มีรีวิวเยอะมาก 

    ตอนแรกก็ลังเลอยู่เหมือนกันค่ะ ว่าจะเห็นผจริงไหม กลัวจะเสียเงินฟรี แต่ถ้าไม่ทำอะไรเลย ลมพิษก็คงขึ้นหนักทุกวัน รักษาแบบเดิมผลลัพธ์ก็คงได้แบบเดิมๆ ไหนๆก็ลองมาเยอะแล้ว ขอลองอีกสักครั้งแล้วกัน ปอจึงตัดสินใจสั่ง UCore มาลองทานดูค่ะ

    ปอเริ่มทานวันละ 1 เม็ดก่อนนอน ผ่านไปประมาณ 5-6 วัน ลมพิษเริ่มยุบ และลดน้อยลง อย่างไม่น่าเชื่อค่ะ พอหมดกระปุกแรกผื่นคัน นูนแดง แทบไม่มีขึ้นอีกเลย มันทำให้เรานอนหลับสนิทขึ้นด้วย จึงทานต่อเนื่องมาเรื่อยๆจนหมด อ่อ! ลืมบอกตอนนั้น ปอสั่ง UCore เซต 2 แถม 1 มาทานค่ะ

    นี่ก็ผ่านมาเกือบปีแล้ว ผื่นลมพิษ ไม่เคยมีกำเริบกวนใจปออีกเลย ทุกวันนี้ปอใช้ชีวิตได้อย่างปกติ ผิวพรรณดูดีขึ้น ใส่เสื้อแขนสั้นได้อย่างสะบายใจ ไม่ต้องอายเหมือนเมื่อก่อน ดีใจมากค่ะ ไม่คิดเลยว่าจะมีวันนี้ เหมือนได้ชีวิตใหม่อีครั้งเลยค่ะ

    สุดท้ายนี้ เพื่อนๆ พี่ๆ คนไหน ที่กำลังกลุ้มใจกับอาการลมพิษอยู่ ปอขอแนะนำ UCore ตัวนี้เลยค่ะ ปอลองมาสารพัดวิธี สุดท้ายมาจบด้วยกระปุกนี้ ลองเปิดใจดูนะคะ…เพราะเราไม่รู้หรอกว่า “สิ่งไหนจะเปลี่ยนชีวิตเรา” สำหรับปอ มันคือ UCore ค่ะที่ช่วยไว้

อยากแก้ปัญหาลมพิษ

ให้ดีขึ้นไวเหมือนปอ กดปุ่ม

แอดไลน์ด้านล่างได้เลยค่ะ

รับส่วนลดสุดคุ้ม วันนี้

ซื้อ 2 แถมฟรี 1 กระปุก

 ด่วน! ก่อนหมดโปร

อย่าปล่อยให้ลมพิษ

รุมเร้าคุณอีกต่อไป

แอดไลน์ ก่อนหมดโปร

ทั้งนี้คุณไม่ต้องกังวลใจ

ว่าจะไม่ได้ผล

เพราะเรามั่นใจสินค้าของเรามาก

เราจึงกล้าให้ในสิ่งที่คนอื่นไม่กล้าให้

โทรด่วน 080-002-8116

(ฝ่ายขาย)

error: ไม่เอา!! ไม่ก๊อบนะจ๊ะ จุ๊บุ จุ๊บุ !!